玉溪市中山医院骨科成功为一名饱受膝关节疼痛30余年的患者实施了左侧全膝关节置换术。患者术后恢复良好,第二天即可在助行器辅助下站立并行走,实现了“早活动、早康复”的快速康复目标。
李女士的双膝疼痛已困扰她30余年,尤其是左膝,疼痛持续加重,伴随膝内翻畸形,日常行走都十分困难。多年来,她辗转多家医院进行保守治疗,但效果不佳,生活质量备受影响。入院检查显示,患者不仅患有双侧膝关节骨性关节炎,还合并高血压、甲状腺功能减退症、慢性支气管炎等多种基础疾病,这为手术带来了极高的风险与挑战。

面对复杂病情,玉溪市中山医院启动多学科协作机制。骨科联合综合内科、心内科、麻醉科、呼吸内科专家进行多学科会诊,全面评估手术风险,精心制定个体化围手术期管理方案,从术前血压调控、甲状腺功能优化,到术中麻醉监护、术后血



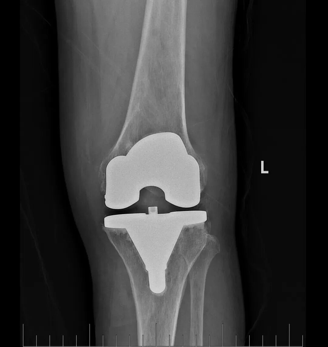
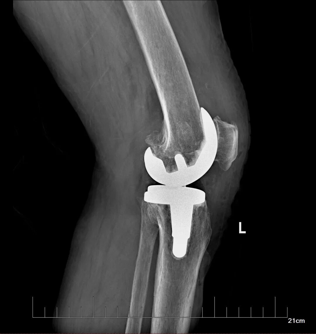
在充分的术前准备基础上,骨科蔡志荣主任带领团队,为李女士实施了左侧全膝关节置换术。团队凭借精湛的操作技术,精准完成了假体植入与软组织平衡,术中出血量仅30毫升,无需输血,患者生命体征平稳。得益于“快速康复外科”理念的应用,李女士在术后第二天就能在助行器辅助下站立并行走。恢复速度远超传统关节置换术后的康复进程,患者及家属对治疗效果赞不绝口。



此次手术的成功开展,是玉溪市中山医院骨科在复杂关节置换手术上技术的更进一步,也体现了多学科协作模式对于合并多种基础疾病患者的救治优势。蔡志荣主任表示,医院骨科团队将继续秉持精准医疗与快速康复相结合的理念,持续提升医疗技术水平,以更优质的医疗服务,为玉溪及周边地区的骨病患者祛除病痛,守护百姓骨骼健康。
专家简介


科室推介丨创伤中心
玉溪市中山医院创伤中心是集急危重症创伤救治、医疗教学、科研及区域协同一体化的现代化专业诊疗单元。其前身为澄江市人民医院骨科,自1995年成立以来,历经近三十年发展,于2021年正式通过省级创伤中心验收,并于2025年9月顺利完成复审,持续承担澄江及周边地区严重创伤救治的关键任务。
科室配备先进的抢救与手术设备,建立标准化创伤急救流程和多学科协作机制(MDT),实现从院前转运、院内急救、损伤控制到重症监护和康复治疗的无缝衔接。常规开展全髋/膝关节置换、胸腰椎骨折内固定、膝关节交叉韧带重建、骨肿瘤切除、骨髓炎清创灌洗等高难度手术,显著提升创伤救治效率与患者生存质量。
玉溪市中山医院创伤中心始终秉持“生命至上、快速高效”的理念,以骨科雄厚临床实力为基础,依托规范管理、先进设备和人性化服务,已成为区域范围内创伤救治的核心枢纽,致力于为患者提供全天候、高水平的一站式生命绿色通道和全方位诊疗保障。
科室地址及咨询电话:
门诊:门诊楼1楼
咨询电话:0877-8866238
住院部:4号住院楼7楼
咨询电话:医生办公室0877-8866347,护士站0877-8866346