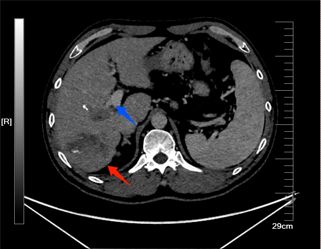
从“放弃治疗”到“肿瘤缩小近一半”!市中山医院肿瘤诊疗中心助力肝癌患者重燃生命希望
2026-03-27
阅读全文
中大专家谭进富牵头开展危重患者联合查房:为危重症患者筑牢生命防线
2025年4月8日,玉溪市中山医院消化疾病诊疗中心与危急重症中心首次开展跨学科联合查房。此次查房由中山大学附属第一医院胃肠外科专家、玉溪市中山医院消化疾病诊疗中心负责人谭进富和危急重症中心副主任李慧敏牵头,两个中心医护团队共同参与,旨在提升危急重症患者的综合救治能力,推动学科协作发展。联合团队对3例急危重症老年患者进行了重点查房。包括1例巨大肠癌合并肠梗阻术后患者,1例肠系膜上动脉血栓栓塞、肠坏死合并多...
2026-01-04
阅读全文
医疗国家队专家“坐镇”玉溪!三台高难度手术“家门口”享顶尖肿瘤专家 为肿瘤患者点亮希望
2025年10月29日,玉溪市中山医院肿瘤诊疗中心传来振奋消息:在学科带头人、中山大学附属第一医院肿瘤介入科主任李家平教授(国家肿瘤介入领域顶尖专家)的带领下,团队单日连续完成四台介入手术,其中三台为高难度精准微创治疗,成功为三位病情复杂、常规治疗受限的晚期肿瘤患者解除病痛。这标志着优质医疗资源下沉玉溪取得实质性突破,当地百姓无需远赴大城市,在“家门口”就能享受到“国家队”水平的顶尖介入治疗服务。李家...
2025-12-23
阅读全文
迎国庆丨治疗1个月肿瘤明显缩小!玉溪中山医院用BACE联合肝动脉栓塞介入术,逆转晚期肺癌多发转移病情
玉溪市中山医院肿瘤诊疗中心成功开展一项针对晚期肺癌多发转移的精准介入治疗:不仅为一位历经传统治疗失败的72岁患者实施支气管动脉化疗栓塞术(BACE)联合肝动脉化疗栓塞术,实现了病情的有效逆转,也为国庆节的到来献上一份特殊的礼物。72岁的毕女士在2023年10月被确诊为肺癌并骨转移。确诊后她接受了标准的一线治疗方案,并在病情稳定后进行了维持免疫治疗,延缓肿瘤进展。然而2025年3月,复查发现其肺原发病灶增大,并出现...
2025-12-23
阅读全文
肝硬化晚期患者有救了|玉溪首例TIPS手术在玉溪市中山医院成功实施
肚子胀得像气球,连喘气都费劲,还反复拉黑便、呕血……这些可怕的症状,都是肝硬化晚期“门静脉高压”惹的祸,严重威胁着患者的生命健康。如今,玉溪及周边区域内的患者不用再长途奔波,在“家门口”就能迎来“生命转机”。2025年4月29日,玉溪市中山医院肿瘤诊疗中心在中山大学附属第一医院肿瘤介入科主任李家平的指导下,通过多学科协作,成功完成玉溪地区首例经颈静脉肝内门体静脉分流术(TIPS)。这项被誉为介入手术“天花...
2025-12-23
阅读全文
玉溪市中山医院:中山一院肿瘤专家李家平再到院 学科带头人引进显成效
2025年3月4日,中山大学附属第一医院(以下简称“中山一院”)肿瘤介入科主任李家平再次抵达玉溪市中山医院,开展短期驻岗帮扶。此次帮扶是继2024年10月李家平教授驻岗开展工作后的又一次深入指导。人才赋能,打造本土技术骨干李家平教授是医院柔性引进人才政策执行后,与中山医院建立合作,签聘的肿瘤介入学科带头人。在驻岗期间,他主导成立“肿瘤介入专家工作站”,通过“手把手”带教、病例讨论、学术讲座等形式,以“输血...
2025-12-23
阅读全文
