近日,玉溪市中山医院骨科接连收到两面锦旗,一面锦旗是感谢曾润华医生;另一面锦旗是感谢周树文、杨鹏医生。每一面锦旗的背后不仅藏着一段医患之间温暖的故事,也代表着患者对玉溪市中山医院医疗水平和服务质量的认可。

精准治疗解足疾 暖心服务获赞誉
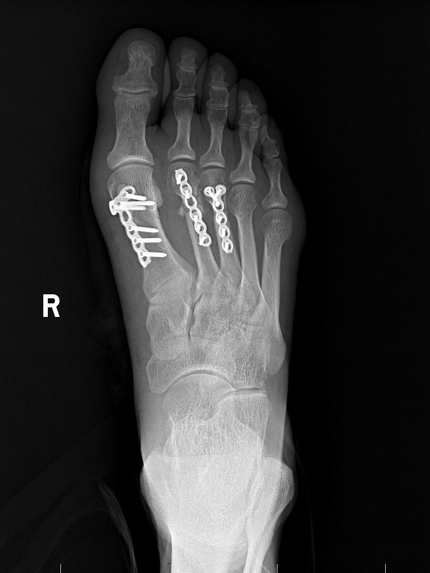
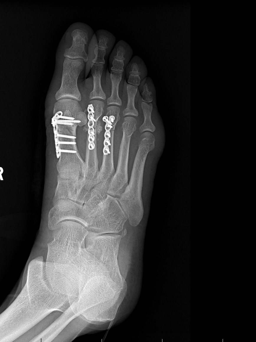
2025年4月18日,李先生因意外受伤来到玉溪市中山医院骨科就诊。经详细检查会诊,李先生被诊断为右侧开放性多发性足骨折、右足第1、2、3跖骨骨折。骨科团队迅速为李先生制定了个性化治疗方案,并于4月28日,由骨科副主任医师曾润华主刀,成功实施“跖骨骨折切开复位钢板内固定术”。手术后,医护人员每日密切关注李先生的病情,耐心指导他进行康复训练。在医护团队的精心照料下,李先生恢复良好,疼痛明显减轻,患部功能逐步恢复,于5月18日顺利出院。为表达感谢,李先生特意送来一面印有“医德高尚医术精,关爱病患暖人心”的锦旗,向曾润华医生及医护人员表达诚挚谢意。


患者术后X线影像
妙手取出内固定 患者锦旗表感激
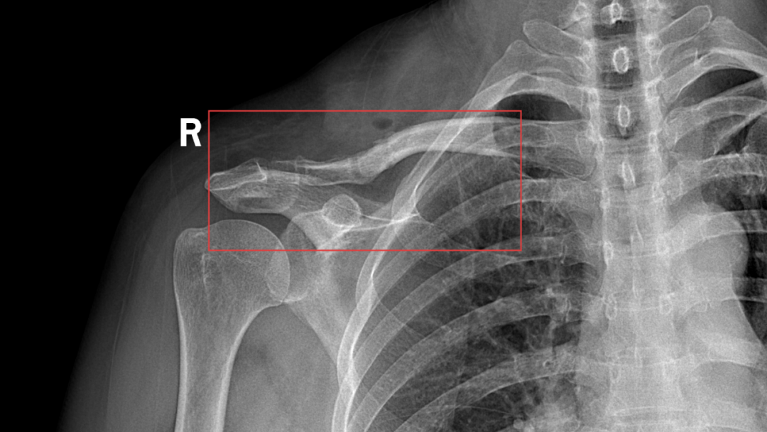
5月14日,玉溪市中山医院骨科为肩锁关节脱位术后患者武女士完成了内固定装置取出手术。一年前武女士因车祸导致右肩锁关节脱位 (III度),在玉溪市中山医院接受了“右肩锁关节脱位切开复位内固定术”,术后武女士积极配合医护团队治疗并顺利出院。此次术后一年复查,显示她的骨性愈合良好。骨科团队为武女士实施了精细化手术,顺利取出内固定装置,并通过精准操作确保患部功能完整恢复。术后,武女士恢复状况良好,于5月22日出院。为感谢周树文主任、杨鹏医师等医护团队,武女士赠送锦旗“妙手扶桑梓,高医攀新峰”,表达深切感激。

手术前

手术后
这些温暖的事例,不仅体现了玉溪市中山医院骨科在运动损伤修复与术后管理方面的专业技术,也彰显了医院“以患者为中心”的医疗服务理念。自建院以来,医院通过优化手术期管理、加强多学科协作,持续提升患者就医体验。未来,玉溪市中山医院将继续努力,为周边患者提供更优质的医疗服务,帮助更多患者摆脱病痛困扰。