孩子生长发育期牙齿畸形,排列不齐、上颌前突、下颌后缩等症状常常困扰家长,常见的牙齿间隙、开合、龅牙、地包天等,不仅影响美观,还可能对孩子口腔功能造成影响。玉溪市中山医院口腔科针对这些常见的儿童牙齿问题,推出个性化正畸治疗方案,帮助患者恢复口腔健康与自信笑容。
运用不同功能矫治器为儿童开展正畸治疗案例
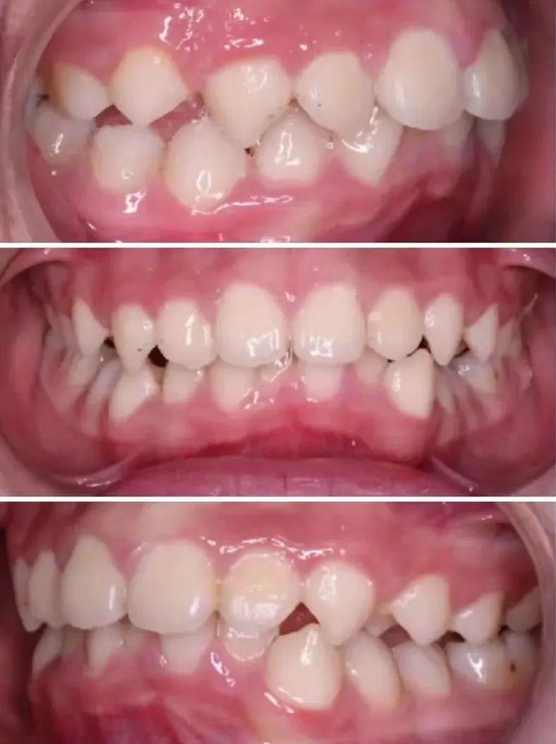
案例一:8岁前牙深覆盖患者矫治
该患者因自觉牙齿不齐,主动到玉溪市中山医院口腔科要求矫治。口腔科主治医师张维接诊后,决定采用活动功能矫治器Twin-block进行Ⅰ期治疗。该矫治器通过刺激下颌骨生长,引导下颌向前,有效改善了患者的深覆盖问题。治疗期间,主治医师张维还特别叮嘱患者进行唇肌、舌肌及翼外肌等肌功能训练,以增强矫治效果。后续,医院将根据患者佩戴矫治器的效果,适时开展Ⅱ期固定直丝弓矫治技术,确保治疗效果最大化。

△患者矫治前即时图片

△患者矫治前头颅侧位片,显示患者前牙深覆盖


△患者佩戴活动功能矫治器Twin-block

△患者进行Ⅰ期矫治后图片

△患者Ⅰ期矫治后头颅侧位片,显示患者前牙深覆盖有所改善
案例二:11岁“地包天”患者双期矫治显成效
另一例11岁前牙“地包天”患者也在玉溪市中山医院口腔科得到了有效治疗。主治医师张维采用双期矫治方案为患者开展正畸矫治,Ⅰ期使用前方牵引活动矫治器,牵引患者上颌骨向前,同时抑制下颌骨发育;Ⅱ期则采用传统直弓丝固定矫治技术,待牙列整平排齐后,根据前牙突度和咬合关系决定是否拔牙。功能矫治器的应用不仅提前纠正了部分颌骨畸形,还显著降低了后期矫治难度和拔牙概率,体现了“尽量少拔牙和不拔牙”的治疗理念。

△患者佩戴前方牵引活动矫治器

△患者开始Ⅰ期矫治前

△患者佩戴前方牵引活动矫治器矫治中

△患者Ⅰ期矫治结束
先进设备助力精准治疗,更好地为患者服务
值得一提的是,玉溪市中山医院口腔科还配备了先进的口腔颌面锥形束CT(CBCT),为正畸手术的开展提供了坚实保障。CBCT能够获取口腔颌面部的三维图像,清晰展示患者牙齿、颌骨及周围软组织的详细结构,对于评估颌骨骨折、囊肿、肿瘤等病变,以及进行正畸治疗前的规划和牙科治疗、颌骨手术、种植牙手术等具有重要的指导意义。与传统X光检查相比,CBCT不仅图像质量更高,而且辐射暴露更少、对患者的身体损害更小,进一步提升了治疗的安全性和精准性。

△口腔颌面锥形束CT
医师简介

朱永和
玉溪市中山医院口腔科主任医师
从事临床、科研及教学工作37年余,主持完成的科研项目曾获得玉溪市政府科技进步三等奖及玉溪市卫生局科技进步二等奖,发表学术论文9篇。曾到云南省第一人民医院及云南省第二人民医院口腔科进修,并担任云南省口腔医学会理事、玉溪市口腔学术专业委员会副主任委员及玉溪市医疗事故鉴定专家库成员;
擅长:口腔常见病和多发病的诊治,各种牙颌畸形的矫治,龋病、根尖周病及牙周病的规范治疗,复杂牙的根管治疗及根尖切除併倒充术、全口义齿和可摘局部义齿的修复,金属烤瓷冠及全瓷冠的修复,自制改进桩核冠及桩冠的修复,牙冠纵折的保守治疗,鹰复体的修复,口腔颌面外伤的救治及间隙感染的治疗,颞下颌关节脱位及颌骨骨折的复位固定,常见口腔颌面部肿瘤的手术切除,颌骨囊肿的手术开窗治疗,可完成牙齿的种植、移植及再植,复杂牙及疑难阻生智齿的手术拔出及术后并发症的处理,尤其擅长口腔黏膜病及部分口腔疑难病的治疗。

李正伟
玉溪市中山医院口腔科副主任医师
从事口腔科临床工作28年余,曾前往昆明医学院附属第一医院及昆华医院进修口腔修复及口腔正畸,两次参加卫生部举办的口腔、病理学习培训班;先后4次荣获玉溪市人民政府、卫生局科技进步荣誉奖项;在核心期刊发表专业论文两篇;
擅长:牙体牙髓牙周疾病的预防诊断治疗,各种类型复杂牙拔除术,全口义齿修复,固定义齿、活动义齿修复,各类型牙颌畸形的矫治。精通各类口腔治疗技术,包括修复口内、口外、正畸,熟练掌握口腔影像学诊断,具备应对处理口腔急诊和疑难杂病的能力。

张维
玉溪市中山医院口腔科主治医师
从事口腔科临床工作15年,正畸临床工作8年,2017—2018年在云南省第二人民医院口腔科正畸科进修,为期一年;
擅长:儿童早期矫治,各类错合畸形固定矫治。
玉溪市中山医院口腔科温馨提示
若发现牙齿排列不齐或其他口腔问题,应及时就医,早诊断、早治疗,以获得最佳矫治效果。医院口腔科热忱欢迎广大有正畸需求的患者前来就诊咨询。在这里,专业的正畸团队将助力每一位患者绽放自信笑容,重获健康美丽的牙齿。